Blogs

November 18, 2025

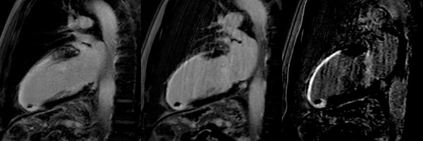
MR Cardio Narbendarstellung (grafische Kontrolle der TI-Zeit)

November 13, 2025

MR Cardio (TR Einstellung über den Parameter TR (Beats)

Mai 30, 2025

MR Cardio Narbendarstellung (PSIR Black Blood)

exclamation mark, warning, danger

Ihre Zufriedenheit ist mein Ziel, deshalb verwende ich Cookies. Mit diesen ermöglichen Sie mir, dass meine Webseite zuverlässig und sicher läuft.