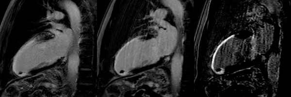
MR Cardio Narbendarstellung (PSIR Black Blood)
Der Kontrast zwischen Narbe und Blood pool (mit Kontrast angereichertes Blut im linken Ventrikel) ist in der konventionellen T1 IR TFE, wie auch in der PSIR Sequenz suboptimal. Speziell Sub-endocardiale Infarkte sind sehr schwer zu detektieren oder abzugrenzen.

Erst eine PSIR Black-Blood vermag den Infarkt sehr schön zu differenzieren
Mit dem Time Intensity Diagram (siehe Eintrag “Graphische Kontrolle der TI-Zeit) wird ein 2.ROI im linken Ventrikel gezeichnet

…und mit dem linken Klick auf *Show Graph* wir zusätzlich zur TI-Kurve des Myocardes auch die TI-Kurve des linken Ventrikels (Blood Pool) sichtbar

Das Blut erreicht bei ca. 160 ms seine minimale Intesität.
Jetzt muss nur noch der Kontrast-Parameter „TFE prepulse delay“ mit dem vorher bestimmten Wert (160 ms)versehen werden und fertig ist die PSIR BB !
