008
Aortenklappe und Flussmessung
Durch einen Klick auf das gewünschte Thema springen Sie direkt zum gewählten Inhalt.

Die Vorbereitungen und Grundeinstellungen sind die gleichen wie für die Achsenplanung.
Als Planungsbilder werden der 3-Kammerblick (3CH) und ein Zweiter Links-Ventrikulärer- Aussfluss-Trakt (LVOT 2) benötigt
Als Planungsbilder werden der 3-Kammerblick (3CH) und ein Zweiter Links-Ventrikulärer- Aussfluss-Trakt (LVOT 2) benötigt
Planung LVOT 2

Die Planung des LVOT 2 erfolgt senkrecht auf dem 3CH.
Mit Hilfe der 3-dimensionalen Planungshilfe kann gewährleistet werden, dass die Sequenz senkrecht auf dem Planungsbild steht.
Mit Hilfe der 3-dimensionalen Planungshilfe kann gewährleistet werden, dass die Sequenz senkrecht auf dem Planungsbild steht.


Im linken Bild ist die Ebene (türkis) noch im Raum verkippt. Durch die Veränderung der Angulation kann eine senkrechte Planung eingestellt werden. (rechtes Bild)
Aortenklappe
Die Planung der Aortenklappe erfolgt auf dem 3CH und dem LVOT 2. Es werden 3 leicht überlappende Schichten geplant, da es schwierig ist, mit einer Schicht genau die Klappenebene zu treffen.

3CH

LVOT 2

Aortenklappe (oben) geöffnet, (unten) geschlossen
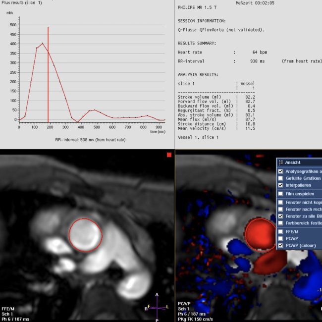
Flussmessung Aorta
Die Planung der Flussmessung Aorta erfolgt auf dem 3CH
und dem LVOT 2. ca. 3cm oberhalb der Klappenebene



Im MRT-Protokoll muss der Parameter PC Velocity (Phasen Contrast Geschwindigkeit) überprüft werden. Eine normale Aorta hat eine Flussgeschwindigkeit von 200 cm pro Sekunde (cm/s).




Ist die echte Flussgeschwindigkeit höher als der im MRT-Protokoll eingestellte Wert, werden die zu hohen Werte nicht korrekt dargestellt (im Beispiel rechts), sie werden eingefaltet (aliasing)

Mit einer Auswertesoftware können sämtliche quantitative Flussparameter erstellt werden. Dazu zählen die durchschnittliche und maximale Flussgeschwindigket, die Flüssigkeitsmenge pro Schlag sowie die Vor-und Rückwärtsflussmengen.